Врач Пятигорска Гранд Кундупян удалил гигантскую опухоль

17 января 2026, 17:15

Армяне

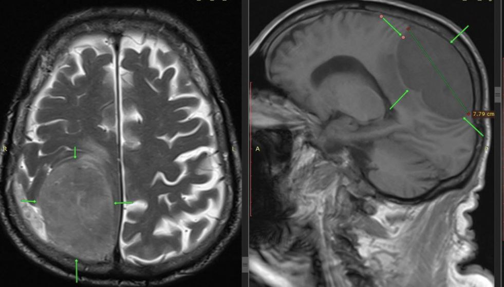
В ГКБ Пятигорска поступил 85-летний пациент с парализованной левой ногой и половиной тела. Первоначально врачи предположили инсульт, однако срочное обследование выявило огромную опухоль размером 8×7 см в правой теменно-затылочной области мозга, отвечающей за движение левой стороны.

Нейрохирурги провели костно-пластическую трепанацию и полностью удалили новообразование.

«Нейрохирургия – одно из ключевых направлений нашей работы. Ежегодно мы выполняем более 400 операций, включая высокотехнологичные: удаление опухолей, лечение аневризм, гематом, стенозов, сосудистых патологий и врожденных заболеваний головного и спинного мозга. Все операции проводятся по квоте», — рассказал заведующий отделением нейрохирургии ГКБ Пятигорска Гранд Кундупян.

После вмешательства пациент быстро пошел на поправку, восстановил движения в левой половине тела. Гистологическое исследование подтвердило доброкачественный характер опухоли.